產品簡介
本產品為即用型 2×超保真 PCR 預混試劑,含有 SuperNova 超保真 DNA 聚合酶、dNTPs、Mg2+、緩沖液等成分。SuperNova 超保真 DNA 聚合酶是在 pfu 基礎上優化的超保真 DNA 聚合酶。具有 5’→ 3’ DNA 聚合酶活性和 3’→ 5’的外切酶活性(即校讀活性),其保真度約相當于普通 Taq DNA 聚合酶的 80 倍;具有極高的擴增效率,其反應速度視模板復雜程度約為 15-30 s/kb;具有超強的模板適應能力和擴增能力,對于 λDNA 模板可以保證 20 kb 的擴增長度,基因組模板可達到 10 kb。2×SuperNova 超保真 PCR 預混液內已添加擴增促進因子,無需額外添加 PCR Enhancer,使用時只需加入 DNA 模板和引物,并用水補足體積即可,最大限度地減少人為誤差和降低污染幾率。具有快速簡便、靈敏度高、穩定性好等優點。適用于超保真擴增,快速擴增,如基因克隆、高通量測序、定點突變等。
本產品含染料(紫紅色),使用含染料的產品在 PCR 反應完成后,不需添加上樣緩沖液即可直接上樣進行電泳,紫紅色染料可指示電泳進程;也可經過純化處理,用于酶切、連接、熒光測序等后續操作。
產品組分
| 組分貨號 | 組分名稱 | A064-01 | A064-05 | A064-10 |
|---|---|---|---|---|
| ZA064-101 | 2×SuperNova PCR Mix (Dye) | 1 ml | 1 ml×5 | 1 ml×10 |
| ZA129-101 | Sterile Water | 1 ml | 1 ml×5 | 1 ml×10 |
保存條件
-20℃ 保存,保質期 24 個月,避免反復凍融。
產品變更
自 2022.12.27 起,該產品進行了成分優化。優化后的產品 2×SuperNova PCR Mix (Dye) 無需再額外添加 High-GC Enhancer,提高產品性能和使用便捷性。
新舊產品組分對應表:
| 產品組分 | 原產品組分 | 新產品組分 |
| 2×SuperNova PCR Mix (Dye) | 提供 | 提供 |
| 10×High-GC Enhancer | 提供 | 無 |
| Sterile Water | 提供 | 提供 |
數據展示
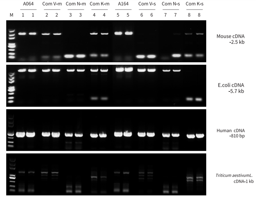
1.不同種屬來源 cDNA 擴增能力強
分別以人、小鼠、E.coli cDNA 為模板,使用 A064/A164、Com V、Com N、Com K 進行不同長度片段擴增。結果顯示,A064/A164 對不同種屬來源不同長度的 cDNA 片段兼容性強,均能良好擴增

2.不同種屬來源 gDNA 擴增能力強
分別以人、小鼠、小麥、E.coli gDNA 為模板,使用 A064/A164、Com V、Com N、Com K 進行不同長度片段擴增。結果顯示,A064/A164 對不同種屬來源不同長度的 gDNA 片段兼容性強,均能良好擴增,且優于 Com V、Com N 和 Com K

3.可有效擴增含同源臂片段
設計常規 PCR 引物與增加了同源臂的 PCR 引物,使用 A064/A164、Com V、Com N、Com K 進行擴增。結果顯示,A064/A164 對含同源臂片段擴增效果良好

4.長片段擴增能力強

5.高 GC 模板擴增能力強
以 Human gDNA 為模板,分別使用 A064/A164、Com V、Com N、Com K 擴增不同 GC 含量的目的片段。結果顯示,SuperNova 對高 GC 模板擴增能力強,且優于 Com V、Com N、Com K

相關產品推薦
請按照實際實驗情況進行使用,如有疑問,請聯系您的業務員或致電技術支持熱線400-666-3332撥2